樹木褐根病檢測試劑商品化技術建立(1/2)發佈日期:2011/12/30
實施期間起迄
100年12月30日執行單位
吳孟玲執行成果
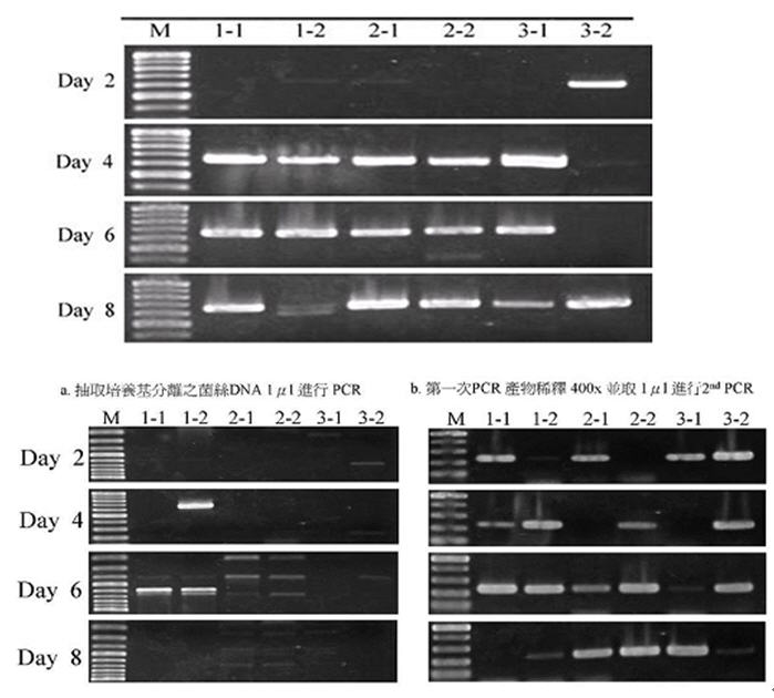
褐根病(brown root rot disease)是國內林木目前最嚴重的病害,本病害是由病原真菌Phellinus noxius所引起。由於樹木罹病初期不易以外部病徵來診斷,為掌握防治先機,本計晝研究團隊已針對病原菌發展聚合酶鏈鎖反應(PCR)技術進行分子檢測,研究成果有助於提高病害診斷效率。本年度研究主要是針對已建立之PCR診斷技術,進一步對於不同檢測樣本來源,建立分子檢測標準技術。本團隊選用不同之褐根病樣本,包括褐根病之病根組織及土壤樣本,並搭配以不同之核酸抽取方法:(1)商品化核酸抽取套組抽取病原核酸;(2)以傳統之有機萃取法萃取病原核酸;(3)先以培養基分離病原再進行核酸抽取,之後進行PCR分子技術檢測,尋求較佳的褐根病檢測法。我們的研究結果證明不同之核酸抽取方法皆可獲得良好檢測效果,但對於土樣材料則以商品化核酸抽取套組效果稍佳;褐根病菌存在於病根組織較病土樣本為多,因此病根組織為較佳之檢測樣本。進行褐根病檢測時應盡量採取病根樣本進行檢測,若因不想破壞樹木本身或欲進行土壤檢測,必須進行土壤篩檢時,可利用雙重PCR提高檢測之靈敏度,亦可達到檢測之目的。此實驗成果擬於第二年計畫繼續建立不同標準檢測流程,並將結果技轉業者,可作為未來應用於林木褐根病PCR診斷,病根/土壤採樣SOP建立之參考依據。











